• Beschreibung

  • Videotranskript

Krebstherapie im Wandel der Zeit

Beschreibung wie sich die Krebstherapie und auch die -forschung in den letzten Jahren unter anderem aufgrund der biotechnologischen Revolution verändert hat

Seit den Anfängen der Medizin gibt es drei grundsätzliche Möglichkeiten, mit Krebs umzugehen.

Chirurgie, Bestrahlung und Chemotherapie.

Die Idee, das Immunsystem dabei zu unterstützen, Krebs zu erkennen und zu bekämpfen, wurde als Zeitverschwendung betrachtet. Wie sich herausstellte, lagen wir völlig falsch.

Die biotechnologische Revolution hat die Art und Weise, wie wir an Tumore herangehen, grundlegend verändert.

Wenn wir vor einem Jahrzehnt über die Entwicklung von Medikamenten sprachen, ging es eigentlich um die Entwicklung von Medikamenten für eine bestimmte Krankheit. Heute betrachten wir bei der Entwicklung von Medikamenten wirklich die Patientin und den Patienten. Wir entwickeln Präzisionsmedizin, zielgerichtete Therapien und setzen das Immunsystem ein und nutzen es.

Mehr als die Hälfte der Programme, die wir in unserer Onkologie-Pipeline haben, sind sogenannte BiTE®-Programme.

Unser Immunsystem verfügt über Milliarden von T-Zellen. Ein BiTE®ist sozusagen nur ein Trick, um das gesamte T-Zell-System wirkungsvoll gegen Krebszellen zu lenken. Hier sehen Sie also eine T-Zelle mit BiTE®-Ausrüstung, die eine Krebszelle angreift, die wiederum die nächste Krebszelle angreift, die das Gleiche tut, und so weiter und so fort.

Da Krebs keine einheitliche Krankheit ist, sind auch die Lösungen, die jeder Patient/jede Patientin für seine/ihre spezielle Krebsart erhält, einzigartig.

Es gibt bestimmte Bereiche in der Krebsforschung, die wirklich als unbehandelbar gelten.

Wenn eine Zelle wie eine Schaltstelle ist, dann ist KRAS nicht irgendein Schalter in dieser Zelle, sondern ein Hauptschalter.

Die Dinge passieren sozusagen in Schüben, nicht wahr? Wir wissen also seit mehr als 30 Jahren, dass das KRAS-Protein Krebs verursachen kann, aber wir waren lange nicht in der Lage, etwas dagegen zu unternehmen. Das Wissen haben wir uns jetzt zunutze gemacht, um das mutierte Protein von all seinen krebserregenden Aktivitäten abzuhalten.

Wir haben mit Krabbeln angefangen... Wir haben die richtige Art von Technologie, den richtigen Kooperationsgeist auf der ganzen Welt. Es ist das erste Mal, dass wir an einem Wendepunkt stehen, an dem wir sagen können, dass wir nahe dran sind.

Schwerpunktbereiche

Jährlich erkranken in der Schweiz rund 45‘000 Menschen neu an Krebs. Mit einer breiten Palette innovativer wissenschaftlicher Ansätze und unterstützender Angebote packen wir alle Aspekte der Versorgung von Patient:innen an. Wir erweitern die Reichweite, die Wirkung und das Potenzial innovativer, lebensverändernder Medikamente zur Behandlung von Krebserkrankungen, die noch nicht vollständig erforscht sind. Von transformativen Medikamenten, die sich den schwierigen Herausforderungen während der Behandlung stellen, bis hin zu Lösungen, die Behandlungsergebnisse verbessern, wie unterstützende Pflege und Biosimilars. Wir zielen auf hochwirksame Medikamente ab, um die Erwartungen an die Ergebnisse einer Krebsbehandlung zu verändern.

Viele verschiedene Therapiekonzepte gegen Krebs hat Amgen bereits entwickelt. Unsere Forschung konzentriert sich auf mehr als ein Dutzend verschiedener bösartiger Tumore, von hämatologischen Malignomen bis hin zu soliden Tumoren.


Lorem Ipsum Amet

Lorem ipsum dolor sit amet, consectetur adipiscing elit. Morbi cursus dapibus nunc, pellentesque lacinia dolor.

Lorem Ipsum Amet

Lorem ipsum dolor sit amet, consectetur adipiscing elit. Morbi cursus dapibus nunc, pellentesque lacinia dolor.

Lorem Ipsum Amet

Lorem ipsum dolor sit amet, consectetur adipiscing elit. Morbi cursus dapibus nunc, pellentesque lacinia dolor.

Krankheitsbilder

Darmkrebszzellen

Darmkrebs

Eine der häufigsten Tumorarten in den westlichen Ländern

Krebszelle

Magen- und Speiseröhrenkrebs

Rund 1‘500 Menschen erkranken in der Schweiz jährlich

Krebszelle

Blutkrebs

Die häufigste Krebsart bei Kindern

Bild, das Lungenkrebs zeigt

Lungenkrebs

Eine der häufigsten krebsbedingten Todesursachen

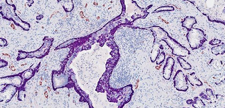
Ein menschliches Prostata-Adenokarzinom, gefärbt mit ERG-Immunhistochemie (braun) und CK5-Immunhistochemie (lila).

Prostatakrebs

Am häufigsten diagnostizierte Krebserkrankung bei Männern

Darmkrebszzellen

Darmkrebs

Eine der häufigsten Tumorarten in den westlichen Ländern

Krebszelle

Magen- und Speiseröhrenkrebs

Rund 1‘500 Menschen erkranken in der Schweiz jährlich

Krebszelle

Blutkrebs

Die häufigste Krebsart bei Kindern

Bild, das Lungenkrebs zeigt

Lungenkrebs

Eine der häufigsten krebsbedingten Todesursachen

Ein menschliches Prostata-Adenokarzinom, gefärbt mit ERG-Immunhistochemie (braun) und CK5-Immunhistochemie (lila).

Prostatakrebs

Am häufigsten diagnostizierte Krebserkrankung bei Männern

Weitere Informationen zum Thema Krebs finden Sie auf der Website der Patient:innenorganisation Krebsliga.